Discover another 100 best GBT Cases Vol. 4


GBT gives value and more fun to work to clinicians and we are very proud to show how GBT is successfull implemented into daily work. After the great success of the GBT Cases series The future of oral prevention and Therapy is GBT , and EMS is happyto present the new volume 4 edition of the 100 GBT Clinical Cases. This publication highlights the transformational impact of Guided Biofilm Therapy (GBT) through a collection of real-world success stories from dental professionals around the globe.








The 100 GBT Clinical Cases is a testament to the power of innovation and collaboration in dentistry. Each case reflects the unique experiences of dental professionals using GBT protocols to elevate patient care. This updated edition is designed to inspire, educate, and empower practitioners looking to adopt modern, evidence-based approaches to dental hygiene.
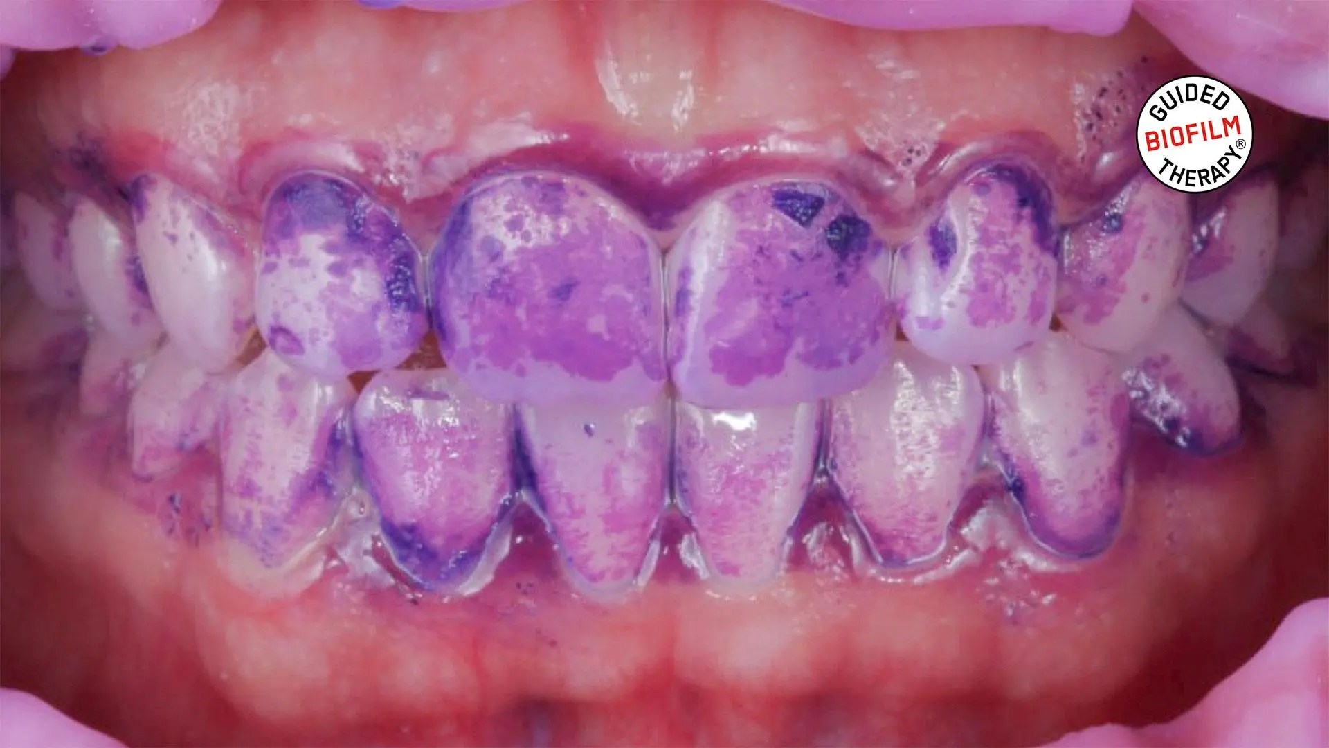
Guided Biofilm Therapy (GBT) is a minimally invasive protocol designed to remove biofilm and calculus while prioritizing patient comfort. As a preventive and therapeutic solution, GBT continues to set new standards in dental hygiene and care. The 100 Clinical Cases further solidify GBT’s position as an essential part of modern dentistry.
The 100 GBT Clinical Cases 2024 edition is available.
Download your eBook and join the GBT movement to transform oral prevention worldwide.
Download Your E-Book