Un game changer per una migliore profilassi orale. Scopri tutto sugli 8 step del protocollo Guided Biofilm Therapy.
Step 02
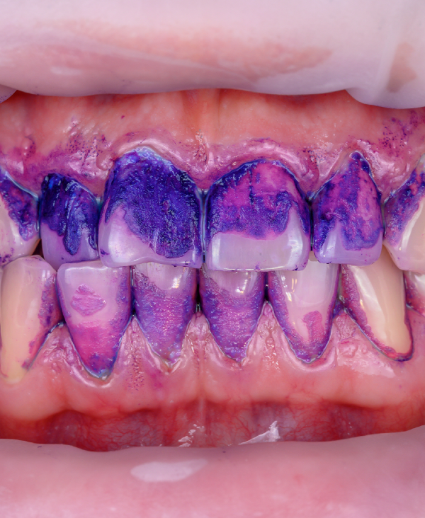
Localizzazione

Step 02
Localizzazione
Rendi visibile l’invisibile — rivela il biofilm senza sforzo.


L'obiettivo della GBT è rimuovere tutto il biofilm orale, anche nelle aree difficili da raggiungere. Con l'igiene orale professionale tradizionale, solo il 50% del biofilm orale viene rimosso nelle aree difficili da raggiungere.* Quando il biofilm è visibile, può essere rimosso molto più rapidamente e con maggiore precisione. Localizzare il biofilm su denti e tessuti molli nel contesto delle Istruzioni per l'Igiene Orale (OHI) motiva il paziente a migliorare la prevenzione domiciliare (cura domiciliare).
*07/2015 STIFTUNG WARENTEST (FONDAZIONE TEDESCA PER LA TUTELA DEI CONSUMATORI)

Localizzare il biofilm impedisce la
sovra-strumentazione (bitonale).
Localizzare il biofilm guida il clinico durante il trattamento.

La localizzazione del biofilm si colloca nel secondo step del protocollo GBT. Consente sia al clinico che al paziente di visualizzare il biofilm prima della rimozione.
Il rilevatore di placca è disponibile in un flacone di plastica contenente 250 spugnette pre-imbevute. Ogni spugnetta è pratica, semplice e pronta all'uso durante le procedure cliniche.
Il principio attivo è l'eritrosina, un colorante bitonale utilizzato per evidenziare il biofilm sui denti.
Un colorante bitonale distingue tra:
Supporta l'educazione e la motivazione. I pazienti possono vedere chiaramente dove si accumula la placca e dove è necessario migliorare la tecnica di spazzolamento o l'uso del filo interdentale. Questo feedback visivo aiuta a rafforzare e migliorare le abitudini di igiene orale.
Per i professionisti del settore odontoiatrico, il rilevatore di placca facilita l'identificazione e la rimozione del biofilm sopragengivale. Consente un approccio minimamente invasivo, intervenendo solo sulle aree con biofilm visibile, preservando le superfici sane.
Sebbene siano utilizzati principalmente in ambito clinico durante il trattamento con GBT, i pazienti possono anche utilizzarli periodicamente a casa per monitorare l'efficacia della pulizia dentale, su indicazione del proprio dentista.
Un game changer per una migliore profilassi orale. Scopri tutto sugli 8 step del protocollo Guided Biofilm Therapy.
Scarica